
At Harissh Dental Clinic in Coimbatore, Tamil Nadu, India, we offer BPS denture services to restore missing teeth and help our patients achieve a natural-looking, comfortable smile. BPS (Biofunctional Prosthetic System) dentures are a popular option for patients who have lost their natural teeth due to injury, decay, or other causes.
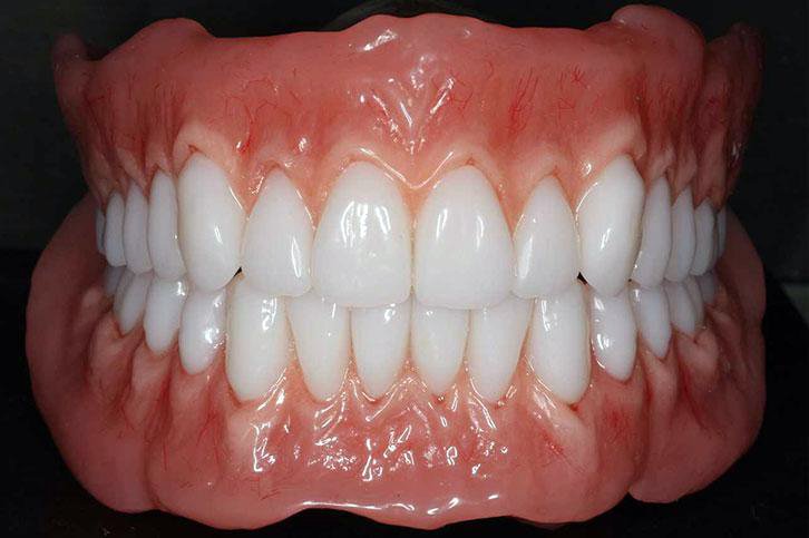
BPS dentures are high-quality, precision dentures that are designed to fit comfortably and securely in your mouth. They are made of advanced materials that mimic the appearance and function of natural teeth, allowing you to eat, speak, and smile with confidence. BPS dentures are custom-made to fit your mouth and are designed to provide maximum comfort and stability.
At Harissh Dental Clinic, our experienced dental professionals use state-of-the-art technology and techniques to ensure a safe and effective denture process.
A consultation to assess your oral health and determine if BPS dentures are right for you.
Impressions are taken of your teeth and gums to create a custom denture.
The BPS denture is created in a dental lab using advanced materials and techniques.
The denture is adjusted to fit comfortably in your mouth.
Aftercare instructions are provided to ensure a quick and comfortable adjustment period.
At Harissh Dental Clinic, our experienced dental professionals will work closely with you to ensure that the denture process is as comfortable and effective as possible. We will provide you with aftercare instructions to ensure a quick and comfortable adjustment period. With proper care, BPS dentures can last for many years, making them an excellent investment in your oral health and overall well-being.
If you are interested in BPS dentures, contact Harissh Dental Clinic today to schedule a consultation and learn more about our denture services. Our dental professionals are committed to providing personalized care to help you achieve a comfortable, natural-looking smile.
© Harissh Dental Clinic Powered by Creativepoint