
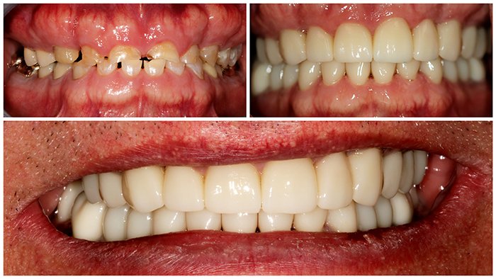
At Harissh Dental Clinic in Coimbatore, Tamil Nadu, India, we offer full mouth rehabilitation services to restore the function and appearance of your smile. Full mouth rehabilitation is a comprehensive approach to dental care that involves multiple treatments to address a range of dental issues, including missing, damaged, or decayed teeth, bite problems, and jaw pain.
Our experienced dental professionals use state-of-the-art technology and techniques to create a personalized treatment plan that is tailored to your unique needs and goals.
The full mouth rehabilitation process typically involves the following steps:
A comprehensive evaluation to assess your oral health and determine the best course of treatment.
Treatment planning to determine which procedures are needed to achieve your desired outcomes.
Treatment implementation, which may include a range of services such as dental implants, crowns, bridges, orthodontics, and more.
Aftercare instructions to ensure a quick and comfortable recovery.
At Harissh Dental Clinic, our experienced dental professionals will work closely with you to ensure that the full mouth rehabilitation process is as comfortable and effective as possible. We understand that dental care can be intimidating, which is why we prioritize patient comfort and personalized care in all of our services. Our goal is to help you achieve a healthy, beautiful smile that you can be proud of.
If you are interested in full mouth rehabilitation services, contact Harissh Dental Clinic today to schedule a consultation and learn more about our services. Our dental professionals are committed to providing personalized care to help you achieve a healthy, beautiful smile.
© Harissh Dental Clinic Powered by Creativepoint